Nutcracker Syndrome Genetic .   the nutcracker syndrome is a rare clinical entity caused by compression of the left renal vein (lrv) by the superior.   nutcracker syndrome, or left renal vein entrapment, describes an uncommon condition involving compression of the left renal vein, usually.   the term of nutcracker syndrome (ns) was proposed by de schepper in 1972 to describe trapping of the left.  a rare, syndromic renal disease characterized by the entrapment of left renal vein (lrv) between the superior.   nutcracker syndrome is the compression of your left renal (kidney) vein, usually between your abdominal aorta and.   the nutcracker syndrome (ncs) is defined by compression of the left renal vein (lvr) and may present with a wide.  renal nutcracker syndrome (ncs) is a condition that occurs when the left renal vein (the vein that carries blood purified by the.
        
         
         
        from www.jpurol.com 
     
        
          nutcracker syndrome, or left renal vein entrapment, describes an uncommon condition involving compression of the left renal vein, usually.  renal nutcracker syndrome (ncs) is a condition that occurs when the left renal vein (the vein that carries blood purified by the.   the nutcracker syndrome is a rare clinical entity caused by compression of the left renal vein (lrv) by the superior.  a rare, syndromic renal disease characterized by the entrapment of left renal vein (lrv) between the superior.   nutcracker syndrome is the compression of your left renal (kidney) vein, usually between your abdominal aorta and.   the term of nutcracker syndrome (ns) was proposed by de schepper in 1972 to describe trapping of the left.   the nutcracker syndrome (ncs) is defined by compression of the left renal vein (lvr) and may present with a wide.
    
    	
            
	
		 
	 
         
    Eighteen years of experience with pediatric nutcracker syndrome the 
    Nutcracker Syndrome Genetic    the nutcracker syndrome (ncs) is defined by compression of the left renal vein (lvr) and may present with a wide.   the nutcracker syndrome is a rare clinical entity caused by compression of the left renal vein (lrv) by the superior.  a rare, syndromic renal disease characterized by the entrapment of left renal vein (lrv) between the superior.   the term of nutcracker syndrome (ns) was proposed by de schepper in 1972 to describe trapping of the left.   nutcracker syndrome is the compression of your left renal (kidney) vein, usually between your abdominal aorta and.  renal nutcracker syndrome (ncs) is a condition that occurs when the left renal vein (the vein that carries blood purified by the.   the nutcracker syndrome (ncs) is defined by compression of the left renal vein (lvr) and may present with a wide.   nutcracker syndrome, or left renal vein entrapment, describes an uncommon condition involving compression of the left renal vein, usually.
            
	
		 
	 
         
 
    
         
        From www.animalia-life.club 
                    Nutcracker Syndrome Causes Nutcracker Syndrome Genetic    the term of nutcracker syndrome (ns) was proposed by de schepper in 1972 to describe trapping of the left.   the nutcracker syndrome is a rare clinical entity caused by compression of the left renal vein (lrv) by the superior.  a rare, syndromic renal disease characterized by the entrapment of left renal vein (lrv) between the superior. . Nutcracker Syndrome Genetic.
     
    
         
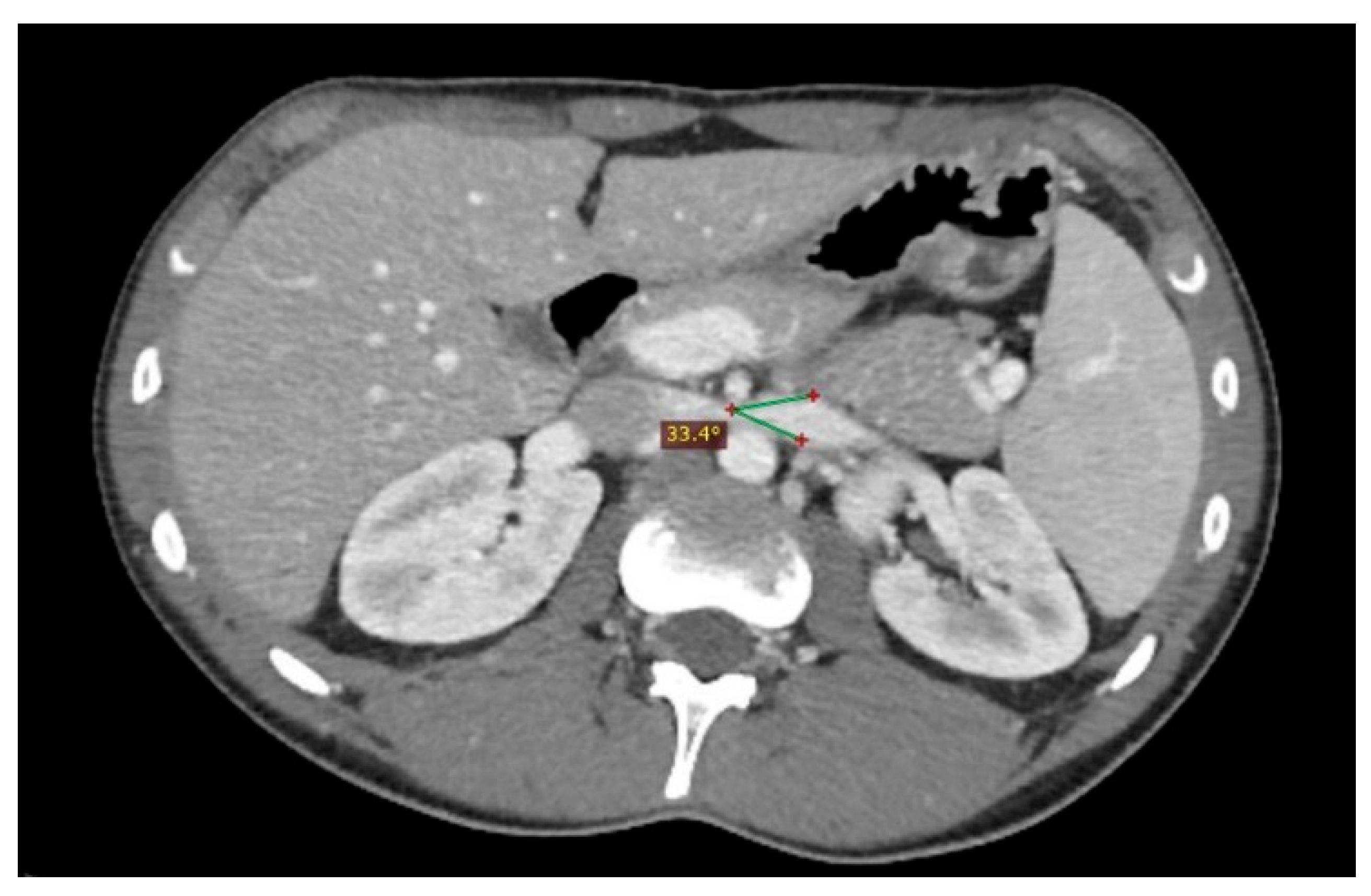
        From www.slideshare.net 
                    Nutcracker syndrome Nutcracker Syndrome Genetic   renal nutcracker syndrome (ncs) is a condition that occurs when the left renal vein (the vein that carries blood purified by the.   nutcracker syndrome is the compression of your left renal (kidney) vein, usually between your abdominal aorta and.   nutcracker syndrome, or left renal vein entrapment, describes an uncommon condition involving compression of the left renal vein,. Nutcracker Syndrome Genetic.
     
    
         
        From www.icliniq.com 
                    What Is Nutcracker Syndrome? Nutcracker Syndrome Genetic   renal nutcracker syndrome (ncs) is a condition that occurs when the left renal vein (the vein that carries blood purified by the.  a rare, syndromic renal disease characterized by the entrapment of left renal vein (lrv) between the superior.   the term of nutcracker syndrome (ns) was proposed by de schepper in 1972 to describe trapping of the. Nutcracker Syndrome Genetic.
     
    
         
        From ar.inspiredpencil.com 
                    Nutcracker Syndrome Causes Nutcracker Syndrome Genetic    nutcracker syndrome, or left renal vein entrapment, describes an uncommon condition involving compression of the left renal vein, usually.   the nutcracker syndrome (ncs) is defined by compression of the left renal vein (lvr) and may present with a wide.  a rare, syndromic renal disease characterized by the entrapment of left renal vein (lrv) between the superior. . Nutcracker Syndrome Genetic.
     
    
         
        From exoldhyeo.blob.core.windows.net 
                    Nutcracker Syndrome Disorder at Leonard Cambell blog Nutcracker Syndrome Genetic   renal nutcracker syndrome (ncs) is a condition that occurs when the left renal vein (the vein that carries blood purified by the.   nutcracker syndrome is the compression of your left renal (kidney) vein, usually between your abdominal aorta and.  a rare, syndromic renal disease characterized by the entrapment of left renal vein (lrv) between the superior. . Nutcracker Syndrome Genetic.
     
    
         
        From www.pinterest.com 
                    Renal nutcracker syndrome and Rare Diseases Information Nutcracker Syndrome Genetic    nutcracker syndrome, or left renal vein entrapment, describes an uncommon condition involving compression of the left renal vein, usually.   the nutcracker syndrome is a rare clinical entity caused by compression of the left renal vein (lrv) by the superior.   the nutcracker syndrome (ncs) is defined by compression of the left renal vein (lvr) and may present with. Nutcracker Syndrome Genetic.
     
    
         
        From ceipbmyx.blob.core.windows.net 
                    Nutcracker Phenomenon at Mary Johnson blog Nutcracker Syndrome Genetic    the term of nutcracker syndrome (ns) was proposed by de schepper in 1972 to describe trapping of the left.   nutcracker syndrome is the compression of your left renal (kidney) vein, usually between your abdominal aorta and.   the nutcracker syndrome (ncs) is defined by compression of the left renal vein (lvr) and may present with a wide. . Nutcracker Syndrome Genetic.
     
    
         
        From www.academia.edu 
                    (PDF) US and MDCT Diagnosis of a Rare Cause of Haematuria in Children Nutcracker Syndrome Genetic    the nutcracker syndrome (ncs) is defined by compression of the left renal vein (lvr) and may present with a wide.  a rare, syndromic renal disease characterized by the entrapment of left renal vein (lrv) between the superior.   the term of nutcracker syndrome (ns) was proposed by de schepper in 1972 to describe trapping of the left. . Nutcracker Syndrome Genetic.
     
    
         
        From mavink.com 
                    Renal Nutcracker Syndrome Nutcracker Syndrome Genetic    nutcracker syndrome is the compression of your left renal (kidney) vein, usually between your abdominal aorta and.   the nutcracker syndrome is a rare clinical entity caused by compression of the left renal vein (lrv) by the superior.  renal nutcracker syndrome (ncs) is a condition that occurs when the left renal vein (the vein that carries blood purified. Nutcracker Syndrome Genetic.
     
    
         
        From nccommons.org 
                    Nutcracker syndrome (Radiopaedia 6459373473 B) NC Commons Nutcracker Syndrome Genetic    the nutcracker syndrome is a rare clinical entity caused by compression of the left renal vein (lrv) by the superior.   the nutcracker syndrome (ncs) is defined by compression of the left renal vein (lvr) and may present with a wide.  a rare, syndromic renal disease characterized by the entrapment of left renal vein (lrv) between the superior.. Nutcracker Syndrome Genetic.
     
    
         
        From nccommons.org 
                    Nutcracker Syndrome (Radiopaedia 5702463896 B) NC Commons Nutcracker Syndrome Genetic    nutcracker syndrome, or left renal vein entrapment, describes an uncommon condition involving compression of the left renal vein, usually.  renal nutcracker syndrome (ncs) is a condition that occurs when the left renal vein (the vein that carries blood purified by the.  a rare, syndromic renal disease characterized by the entrapment of left renal vein (lrv) between the. Nutcracker Syndrome Genetic.
     
    
         
        From twitter.com 
                    Osmosis from Elsevier on Twitter "Last Sunday, we reviewed the blood Nutcracker Syndrome Genetic    the nutcracker syndrome is a rare clinical entity caused by compression of the left renal vein (lrv) by the superior.   the term of nutcracker syndrome (ns) was proposed by de schepper in 1972 to describe trapping of the left.  renal nutcracker syndrome (ncs) is a condition that occurs when the left renal vein (the vein that carries. Nutcracker Syndrome Genetic.
     
    
         
        From www.pinterest.com 
                    Nutcracker Syndrome A Case Report Consult QD Syndrome, Celiac Nutcracker Syndrome Genetic    nutcracker syndrome is the compression of your left renal (kidney) vein, usually between your abdominal aorta and.   nutcracker syndrome, or left renal vein entrapment, describes an uncommon condition involving compression of the left renal vein, usually.   the term of nutcracker syndrome (ns) was proposed by de schepper in 1972 to describe trapping of the left.   the. Nutcracker Syndrome Genetic.
     
    
         
        From www.mdpi.com 
                    Children Free FullText Diagnostic Clues in Pediatric Nutcracker Nutcracker Syndrome Genetic    nutcracker syndrome is the compression of your left renal (kidney) vein, usually between your abdominal aorta and.   nutcracker syndrome, or left renal vein entrapment, describes an uncommon condition involving compression of the left renal vein, usually.  a rare, syndromic renal disease characterized by the entrapment of left renal vein (lrv) between the superior.   the term of. Nutcracker Syndrome Genetic.
     
    
         
        From www.researchgate.net 
                    (PDF) Endovascular treatment of nutcracker syndrome Nutcracker Syndrome Genetic    the nutcracker syndrome (ncs) is defined by compression of the left renal vein (lvr) and may present with a wide.   the nutcracker syndrome is a rare clinical entity caused by compression of the left renal vein (lrv) by the superior.   the term of nutcracker syndrome (ns) was proposed by de schepper in 1972 to describe trapping of. Nutcracker Syndrome Genetic.
     
    
         
        From www.diseasemaps.org 
                    Is Nutcracker syndrome hereditary? Nutcracker Syndrome Genetic   a rare, syndromic renal disease characterized by the entrapment of left renal vein (lrv) between the superior.   the nutcracker syndrome (ncs) is defined by compression of the left renal vein (lvr) and may present with a wide.   nutcracker syndrome is the compression of your left renal (kidney) vein, usually between your abdominal aorta and.   the term. Nutcracker Syndrome Genetic.
     
    
         
        From www.reddit.com 
                    Nutcracker Syndrome Overview r/NutcrackerSyndrome Nutcracker Syndrome Genetic   a rare, syndromic renal disease characterized by the entrapment of left renal vein (lrv) between the superior.   the term of nutcracker syndrome (ns) was proposed by de schepper in 1972 to describe trapping of the left.   nutcracker syndrome, or left renal vein entrapment, describes an uncommon condition involving compression of the left renal vein, usually.   the. Nutcracker Syndrome Genetic.
     
    
         
        From slideplayer.com 
                    Renal parenchymal perfusion measurement with the PixelFlux method to Nutcracker Syndrome Genetic    the term of nutcracker syndrome (ns) was proposed by de schepper in 1972 to describe trapping of the left.  renal nutcracker syndrome (ncs) is a condition that occurs when the left renal vein (the vein that carries blood purified by the.   nutcracker syndrome, or left renal vein entrapment, describes an uncommon condition involving compression of the left. Nutcracker Syndrome Genetic.